Melihat ada garis atau bercak hitam di permukaan gigi si kecil tentu membuat orang tua khawatir. Pikiran pertama biasanya adalah: “Apakah ini gigi berlubang? Padahal saya sudah rajin menyikat giginya setiap hari!”
Tenang, Ayah dan Bunda. Jika bercak tersebut terasa keras saat diraba dan tidak disertai rasa sakit, kemungkinan besar itu bukanlah lubang gigi (karies), melainkan Black Stain. Di Dharmawangsa Dental Studio (DDS), kami sering menemui kasus ini pada pasien anak. Kabar baiknya, ini bukan tanda kelalaian Ayah Bunda dalam menjaga kebersihan, melainkan fenomena biologis yang unik.
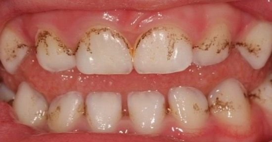
Apa Itu Black Stain?
Black stain adalah noda hitam atau cokelat gelap yang biasanya muncul membentuk garis di sepanjang tepi gusi atau bercak di permukaan gigi. Berbeda dengan lubang gigi yang membuat struktur gigi keropos, stain ini hanya menempel di permukaan luar email.

Mengapa Bisa Muncul Padahal Rajin Sikat Gigi?
Ada beberapa faktor unik yang menyebabkan noda ini tetap muncul meskipun anak rutin sikat gigi:
- Bakteri Kromogenik: Ini adalah penyebab utama. Beberapa anak memiliki jenis bakteri tertentu dalam mulutnya yang bereaksi dengan senyawa dalam air liur (seperti zat besi) dan membentuk pigmen hitam yang sangat kuat menempel di gigi.
- Kadar Zat Besi yang Tinggi: Anak yang sedang mengonsumsi suplemen zat besi atau vitamin tertentu sering kali lebih rentan mengalami black stain.
- Karakteristik Air Liur: Komposisi mineral dalam air liur setiap anak berbeda-beda. Pada beberapa anak, air liur mereka justru membantu bakteri kromogenik ini membentuk noda dengan lebih cepat.
- Permukaan Gigi yang Masih Belum Sempurna: Gigi susu atau gigi yang baru tumbuh terkadang memiliki permukaan yang sedikit kasar, sehingga pigmen warna lebih mudah “terperangkap”.
Apakah Berbahaya?
Beberapa penelitian menunjukkan bahwa anak dengan black stain justru cenderung memiliki risiko gigi berlubang yang lebih rendah! Hal ini dikarenakan jenis bakteri dan mineral air liur yang membentuk stain tersebut biasanya menciptakan lingkungan yang kurang mendukung bagi bakteri penyebab karies.
Namun, secara estetika, black stain memang bisa mengganggu kepercayaan diri anak saat tersenyum dan tidak bisa hilang hanya dengan sikat gigi biasa di rumah.
Solusi di Dharmawangsa Dental Studio
Karena noda ini menempel sangat kuat (seperti karang gigi), pembersihannya memerlukan bantuan Pedodontist (Spesialis Gigi Anak):
- Professional Polishing: Menggunakan pasta pemoles khusus dan sikat mekanis yang lembut untuk mengangkat noda tanpa merusak lapisan email gigi anak.
- Ultrasonic Scaling: Jika noda sudah mengeras dan menebal, dokter akan menggunakan alat ultrasonik yang sangat halus untuk membersihkannya dengan nyaman.
- Pencegahan Kedepan: Kami akan memberikan edukasi mengenai teknik menyikat gigi yang lebih efektif di area-area tertentu untuk memperlambat kembalinya noda tersebut.
Jangan merasa gagal jika gigi anak muncul bercak hitam. Black stain hanyalah masalah estetika dan biasanya akan berkurang seiring bertambahnya usia anak dan perubahan komposisi bakteri mulut mereka. Yang terpenting, pastikan anak tetap nyaman saat dibersihkan giginya agar mereka tidak trauma ke dokter gigi.
Ingin Senyum Si Kecil Kembali Cemerlang Tanpa Noda? Jangan mencoba mengerik noda hitam di rumah karena bisa merusak email gigi anak. Bawa si kecil ke Dharmawangsa Dental Studio untuk prosedur polishing yang menyenangkan dan bebas rasa takut. Biarkan tim spesialis gigi anak kami mengembalikan keceriaan senyum mereka!