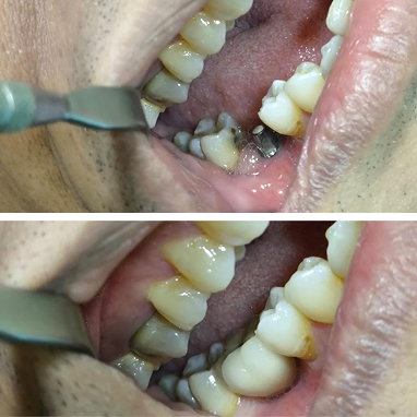
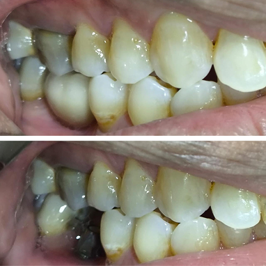
Semua tindakan dilakukan oleh dokter spesialis, memastikan hasil presisi, fungsional, dan estetis.
Teknik modern membuat proses implan minim nyeri dengan hasil natural.
Menggunakan merek implan internasional dengan garansi dan dukungan penuh dari klinik.
Kami menyediakan tiga pilihan implan berkualitas: Dentium USA, Osstem, dan Straumann. Setiap implan dirancang untuk kenyamanan, kekuatan, dan estetika terbaik sesuai kebutuhan Anda.
Teknologi implan asal Amerika dengan kualitas tinggi, stabilitas terjamin, dan hasil jangka panjang.
Implan dengan inovasi terkini, memberikan kenyamanan dan daya tahan tinggi.
Salah satu brand global terbaik dengan ketahanan, kualitas, dan hasil estetik luar biasa.
Proses implan dilakukan dengan teknik modern, hasil presisi, estetis, dan minim rasa sakit.
Ini adalah kesekian kalinya saya datang untuk perawatan gigi di Dharmawangsa Dental Studio, sekaligus perawatan gigi menemani perawatan gigi anak, bahkan dari mereka masih kecil sampai sudah beranjak remaja. Semua pelayanannya yang baik, sangat memperhatikan kebersihan klinik, apalagi ada area bermain anak yang sangat buat nyaman.
Pengalaman aku setelah melakukan scaling dan beberapa tindakan lain. Semua tindakan berjalan dengan baik, dokternya juga oke banget. Kebetulan ditangani dengan drg. Safira, aku baru ini tambal gigi minim rasa ngilu. Kalian tidak usah ragu kalau ke Dharmawangsa Dental Studio!
Waktu memutuskan untuk mulai perawatan ortodonti, aku pilih Dharmawangsa Dental Studio karena banyak rekomendasiin dan ternyata memang beneran sebagus itu! The doctors are super professional, super friendly, dan selalu bikin aku merasa nyaman setiap kontrol. My smile looks better than ever and I feel more confident to express myself!
Being on camera demands a flawless smile-dan itu yang saya dapatkan di Dharmawangsa Dental Studio. From the first consultation sampai kontrol rutin, semuanya berjalan super nyaman. Dokternya detail, friendly, dan selalu make sure I feel at ease. The result? My smile looks straighter, healthier, and I feel so much more confident on screen!
Di Dharmawangsa Dental Studio, dari pertama masuk aja vibes-nya udah homey banget. Dokternya sabar dan komunikatif, jadi Kato nggak takut sama sekali—bahkan excited tiap kali kontrol! As a mom, I'm super happy with how they treat kids with so much care and warmth. It's more than just a dental visit, it's a fun and safe experience for my little one."
I found both at Dharmawangsa Dental Studio Menteng. Dari awal konsultasi sampai pemasangan, prosesnya smooth banget. Dokternya super detail dan komunikatif—semua dijelasin sampai aku ngerti. Sekarang, aku makin happy dan percaya diri dengan progress gigi aku. Plus, tempatnya nyaman banget buat healing setelah kontrol!
Sebagai orang tua, saya selalu ingin memberikan yang terbaik untuk putri kami, termasuk dalam kesehatan gigi. Dharmawangsa Dental Studio memberikan pelayanan yang sangat profesional, ramah, dan penuh perhatian. Proses Orthodonti yang dijalani Almira berjalan lancar dan menyenangkan. Kini dia tersenyum lebih percaya diri.
Kehilangan gigi bisa bikin kamu tidak percaya diri...
Baca Selengkapnya