Perawatan dilakukan oleh dokter gigi spesialis, sehingga hasil lebih terjamin dan presisi.
Nyeri akibat gigi berlubang parah dapat segera teratasi, bahkan sejak kunjungan pertama.
Klinik eksklusif dengan pelayanan ramah, memastikan pengalaman perawatan lebih tenang dan nyaman.
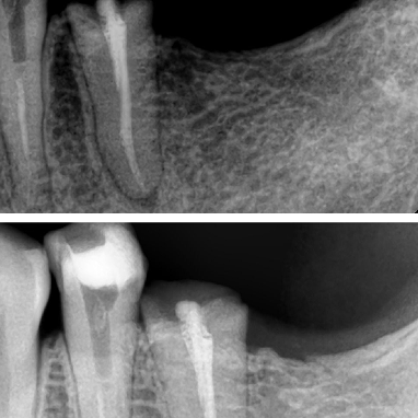
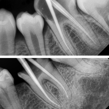
Dengan penanganan dokter gigi berpengalaman di Dharmawangsa Dental Studio, perawatan saluran akar dilakukan dengan teknologi modern sehingga nyeri hilang lebih cepat dan pasien merasa nyaman.
Ini adalah kesekian kalinya saya datang untuk perawatan gigi di Dharmawangsa Dental Studio, sekaligus perawatan gigi menemani perawatan gigi anak, bahkan dari mereka masih kecil sampai sudah beranjak remaja. Semua pelayanannya yang baik, sangat memperhatikan kebersihan klinik, apalagi ada area bermain anak yang sangat buat nyaman.
Pengalaman aku setelah melakukan scaling dan beberapa tindakan lain. Semua tindakan berjalan dengan baik, dokternya juga oke banget. Kebetulan ditangani dengan drg. Safira, aku baru ini tambal gigi minim rasa ngilu. Kalian tidak usah ragu kalau ke Dharmawangsa Dental Studio!
Waktu memutuskan untuk mulai perawatan ortodonti, aku pilih Dharmawangsa Dental Studio karena banyak rekomendasiin dan ternyata memang beneran sebagus itu! The doctors are super professional, super friendly, dan selalu bikin aku merasa nyaman setiap kontrol. My smile looks better than ever and I feel more confident to express myself!
Being on camera demands a flawless smile-dan itu yang saya dapatkan di Dharmawangsa Dental Studio. From the first consultation sampai kontrol rutin, semuanya berjalan super nyaman. Dokternya detail, friendly, dan selalu make sure I feel at ease. The result? My smile looks straighter, healthier, and I feel so much more confident on screen!
Di Dharmawangsa Dental Studio, dari pertama masuk aja vibes-nya udah homey banget. Dokternya sabar dan komunikatif, jadi Kato nggak takut sama sekali—bahkan excited tiap kali kontrol! As a mom, I'm super happy with how they treat kids with so much care and warmth. It's more than just a dental visit, it's a fun and safe experience for my little one."
I found both at Dharmawangsa Dental Studio Menteng. Dari awal konsultasi sampai pemasangan, prosesnya smooth banget. Dokternya super detail dan komunikatif—semua dijelasin sampai aku ngerti. Sekarang, aku makin happy dan percaya diri dengan progress gigi aku. Plus, tempatnya nyaman banget buat healing setelah kontrol!
Sebagai orang tua, saya selalu ingin memberikan yang terbaik untuk putri kami, termasuk dalam kesehatan gigi. Dharmawangsa Dental Studio memberikan pelayanan yang sangat profesional, ramah, dan penuh perhatian. Proses Orthodonti yang dijalani Almira berjalan lancar dan menyenangkan. Kini dia tersenyum lebih percaya diri.
Pernah merasa ngilu di gigi yang bukan main? Rasanya s...
Baca Selengkapnya