Perawatan dilakukan langsung oleh dokter gigi yang ahli dan terlatih untuk hasil yang aman dan optimal.
Tersedia berbagai pilihan perawatan, mulai dari in-office, home bleaching, hingga paket non-vital sesuai kondisi gigi Anda.
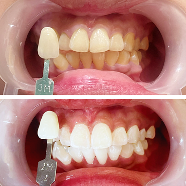
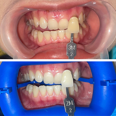
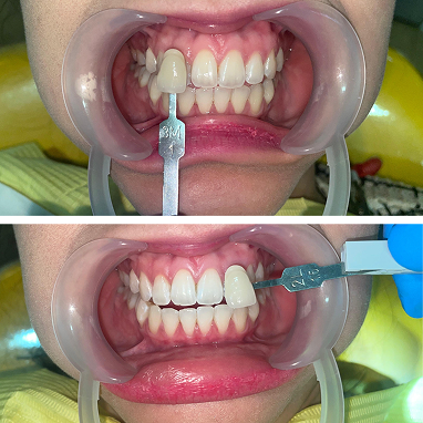
Dapatkan warna putih alami yang cerah dengan prosedur yang nyaman dan minim sensitivitas.
Tersedia berbagai pilihan perawatan bleaching gigi sesuai kebutuhan Anda, mulai dari Home Bleaching yang praktis dilakukan di rumah, In-Office Bleaching dengan hasil cepat di klinik, hingga Non-Vital Bleaching khusus untuk gigi yang sudah mati saraf. Semua pilihan dirancang untuk membantu Anda mendapatkan senyum lebih cerah dan percaya diri.
Kami menyediakan kit bleaching yang bisa digunakan di rumah, praktis dengan arahan dokter agar tetap aman.
Perawatan bleaching langsung di klinik dengan bantuan dokter gigi, memberikan hasil lebih cepat dan maksimal.
Dikhususkan untuk gigi yang sudah mati saraf atau pernah mengalami perawatan saluran akar, membantu mengembalikan warna gigi agar serasi dengan gigi lainnya.
Jangan biarkan noda menumpuk. Segera kembalikan warna putih gigi Anda bersama dokter berpengalaman di Dharmawangsa Dental Studio.
Ini adalah kesekian kalinya saya datang untuk perawatan gigi di Dharmawangsa Dental Studio, sekaligus perawatan gigi menemani perawatan gigi anak, bahkan dari mereka masih kecil sampai sudah beranjak remaja. Semua pelayanannya yang baik, sangat memperhatikan kebersihan klinik, apalagi ada area bermain anak yang sangat buat nyaman.
Pengalaman aku setelah melakukan scaling dan beberapa tindakan lain. Semua tindakan berjalan dengan baik, dokternya juga oke banget. Kebetulan ditangani dengan drg. Safira, aku baru ini tambal gigi minim rasa ngilu. Kalian tidak usah ragu kalau ke Dharmawangsa Dental Studio!
Waktu memutuskan untuk mulai perawatan ortodonti, aku pilih Dharmawangsa Dental Studio karena banyak rekomendasiin dan ternyata memang beneran sebagus itu! The doctors are super professional, super friendly, dan selalu bikin aku merasa nyaman setiap kontrol. My smile looks better than ever and I feel more confident to express myself!
Being on camera demands a flawless smile-dan itu yang saya dapatkan di Dharmawangsa Dental Studio. From the first consultation sampai kontrol rutin, semuanya berjalan super nyaman. Dokternya detail, friendly, dan selalu make sure I feel at ease. The result? My smile looks straighter, healthier, and I feel so much more confident on screen!
Di Dharmawangsa Dental Studio, dari pertama masuk aja vibes-nya udah homey banget. Dokternya sabar dan komunikatif, jadi Kato nggak takut sama sekali—bahkan excited tiap kali kontrol! As a mom, I'm super happy with how they treat kids with so much care and warmth. It's more than just a dental visit, it's a fun and safe experience for my little one."
I found both at Dharmawangsa Dental Studio Menteng. Dari awal konsultasi sampai pemasangan, prosesnya smooth banget. Dokternya super detail dan komunikatif—semua dijelasin sampai aku ngerti. Sekarang, aku makin happy dan percaya diri dengan progress gigi aku. Plus, tempatnya nyaman banget buat healing setelah kontrol!
Sebagai orang tua, saya selalu ingin memberikan yang terbaik untuk putri kami, termasuk dalam kesehatan gigi. Dharmawangsa Dental Studio memberikan pelayanan yang sangat profesional, ramah, dan penuh perhatian. Proses Orthodonti yang dijalani Almira berjalan lancar dan menyenangkan. Kini dia tersenyum lebih percaya diri.
Memiliki gigi putih bersih dan sehat adalah dambaa...
Baca Selengkapnya
Baru selesai bleaching gigi dan senyummu makin kinclon...
Baca Selengkapnya